Návod k praktické úloze – ultrazvuk - základní zobrazení, měření vzdálenosti
Požadavky na absolvování
Návod k praktické úloze – ultrazvuk
Použité přístroje:
Ultrazvukový přístroj Mindray Z5 + lineární sonda 75L38EA
Použité pomůcky:
Sonografický gel, ubrousky na otření pacienta a sondy
Příprava:
- Na počítači si otevřete program PC doktor a ve své pacientské kartě si vložte frázi 5. úloha – Ultrazvuk.
- Do vloženého textu doplňte chybějící údaje (číslo praktika, spolupracovníci atd.)
- Přihlaste se do systému LFHK Moodle a stáhněte si Excel protokol úlohy Ultrazvuk
- Do Excel protokolu úlohy Ultrazvuk (každý člen skupiny svůj) vyplňte jméno, ID atd.
Vlastní měření:
Měření průměru krční tepny (pro každého člena pracovní skupiny zvlášť)
- Pokud není přístroj zapnutý, zapněte jej tlačítkem On.

- V případě, že má vyšetřovaná osoba na krku přívěsek nebo jiný šperk, zajistěte jeho sundání, aby nedošlo k potřísnění gelem, případně poškození.
- Vyšetřovaného položte na lůžko a přehrňte ochranný ubrousek přes okraj výstřihu, aby nedošlo k potřísnění oděvu gelem.
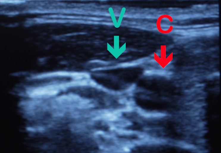
- Pohmatem určete polohu krční tepny.

- Na lineární sondu naneste dostatečné množství gelu. Všimněte si výstupku na boku sondy, který odpovídá značce M v obraze ultrazvuku. Tato pomůcka zajišťuje, aby v důsledku otočení sondy nedošlo k zrcadlovému obrácení obrazu.


- Přiložte sondu na dříve pohmatem určené místo, kolmo k předpokládané poloze tepny. Tepna se zobrazí jako tmavý kruhový pulsující objekt. Podobně se zobrazí také žíla. Pro odlišení mírně zatlačte na sondu. Krční tepna, ve které krev proudí pod tlakem, zůstane kruhová a pulsující, žíla se deformuje (zplošťuje).
- Nyní zastavte obraz tlačítkem Freeze. Poté je možné sondu otřít a odložit zpět do držáku. Přístroj zachytí sekvenci obrázků, mezi kterými lze přecházet pohybem trackballu. Vyberte tak nejzřetelnější zobrazení.

- Stiskněte tlačítko Caliper pro spuštění režimu měření.

- Na obrazovce se zobrazí zelený křížek. Ten umístěte pomocí trackballu na okraj zobrazené tepny, stiskněte tlačítko Set, následně umístěte bod na protější stranu tepny (přes střed k okraji) a stiskněte znovu Set. To vytvoří přes průměr tepny čárkovanou čáru a její délku zapíše do tabulky na obrazovce. Postup opakujte 5x pro změření pěti průměrů v různých směrech, neboť průřez tepny nemusí být přesně kruhový.

- Naměřené hodnoty nyní přepište do připraveného Excel protokolu
Měření průměrů větví (pro každého člena pracovní skupiny zvlášť)
- Tlačítkem Freeze opět aktivujte snímání.
- Na sondu znovu naneste gel a přiložte na místo předchozího měření.
- Sondu pomalu posunujte směrem ke hlavě a sledujte měnící se ultrazvukový obraz. Krční tepna se rozdvojí na dvě větve.



- Znovu zastavte měření tlačítkem Freeze a pohybem trackballu nalezněte nejlepší obrázek ze zachycené frekvence.
- Stejným postupem jako při měření průměru tepny proveďte pomocí funkce Caliper měření průměru větví.
- Proveďte měření na jedné větvi, přepište hodnoty do protokolu a teprve poté proveďte měření na druhé větvi, předcházející hodnoty se přepisují.
Měření rychlosti proudění krve v krční tepně (pro jednoho člena pracovní skupiny, výsledky se sdílí)
- Stejně jako v první části úlohy položte vyšetřovaného na lůžko, naneste gel na sondu a pohmatem nalezněte místo pro zobrazení krční tepny. Přiložte sondu a zobrazte na obrazovce krční tepnu v příčném řezu.
- Nyní přepněte přístroj do režimu barevného zobrazení rychlosti proudění tlačítkem Color, zobrazí se barevně turbulentní proudění v tepně (případně i v cévě).

- Sondu je třeba pro toto měření naklonit pod úhlem 60°vůči tepně.
- Stiskem tlačítka PW se zobrazí záměrný kříž, který trackballem nasměrujeme do místa, ve kterém se bude měřit rychlost proudění.

- Po nastavení objemového vzorku měření záměrným křížem stiskneme znovu tlačítko PW, tím se spustí měření rychlosti proudění. Rychlost je indikována graficky na obrazovce a zvukovým záznějem.
- V případě, že amplituda záznamu přesahuje nastavené rozpětí zobrazení, posuneme stiskem tlačítka Baseline a otáčecím kolečkem polohu vodorovné osy tak, aby se nad ni vešla celá amplituda záznamu.


- Po nastavení je možné záznam zastavit tlačítkem Freeze a odložit sondu zpět do držáku.
- V záznamu se automaticky, žlutými čárkovanými čarami, vyznačuje jeden srdeční cyklus. V řádku TAMEAN na obrazovce je poté zaznamenána průměrná rychlost proudění během vyznačeného cyklu.

- Trackballem se posouváme v záznamu a zapisujeme do Excel protokolu jednotlivé indikované průměrné rychlosti.
Měření rychlosti proudění krve v krční tepně (pro jednoho člena pracovní skupiny, výsledky se sdílí)
- Tlačítkem Freeze opět aktivujte snímání.
- Na sondu znovu naneste gel a přiložte na místo předchozího měření.
- Sondu pomalu posunujte směrem ke hlavě a sledujte měnící se ultrazvukový obraz. Krční tepna se rozdvojí na dvě větve.
- Nyní opakujeme postup z předchozí části úlohy (měření rychlosti v krční tepně) a to pro každou ze zobrazených větví zvlášť. Výsledky zapíšeme do Excel protokolu
Ukončení a vyhodnocení měření
- Po ukončení měření vypneme tlačítkem ultrazvukový přístroj
- Měkkým ubrouskem důkladně očistíme sondu, případně držák a další součásti aparatury potřísněné gelem. Sondu i nádobku s gelem umístíme do držáku.
- V Excel protokolu dopočítáme hodnoty a protokol odešleme ke zpracování tlačítkem Odeslat.